Skip to main content

Giovanni Castiglia

Laboratorio

Giovanni Castiglia

Via Dei Feaci snc 88069 Squillace Lido (Cz)

chi sono

Nato a Catanzaro nel 1982,si diploma nel 2001 presso l’Istituto Nazionale d’Istruzione “Mimmo Lopilato” di Stalettì (CZ). Inizia la sua esperienza lavorativa presso laboratori, interessandosi fin da subito alla protesi fissa e all’estetica. Nel 2008 diventa titolare di laboratorio. Collabora diversi anni con l’Università Magna Grecia di Catanzaro, nel corso di Odontoiatria e Protesi dentaria, frequenta diversi corsi con relatori di fama nazionale ed internazionale tra cui Naoki Hayashi (2004), Jochen Peters (2007), Darryl Millwood (2007), Stefan Picha (2017-2018), Andrea Piacentini (2017-2018), Mario Pace (2018), Roberto Iafrate (2019),Ignazio Loi e Antonello Di Felice (2019),Thomas Stefan Sing (2022)

Le nostre lavorazioni

php code:

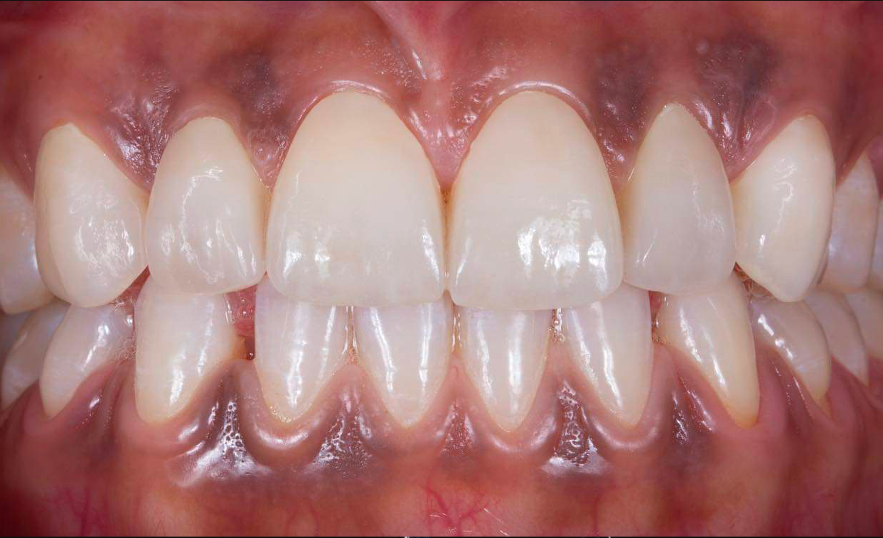
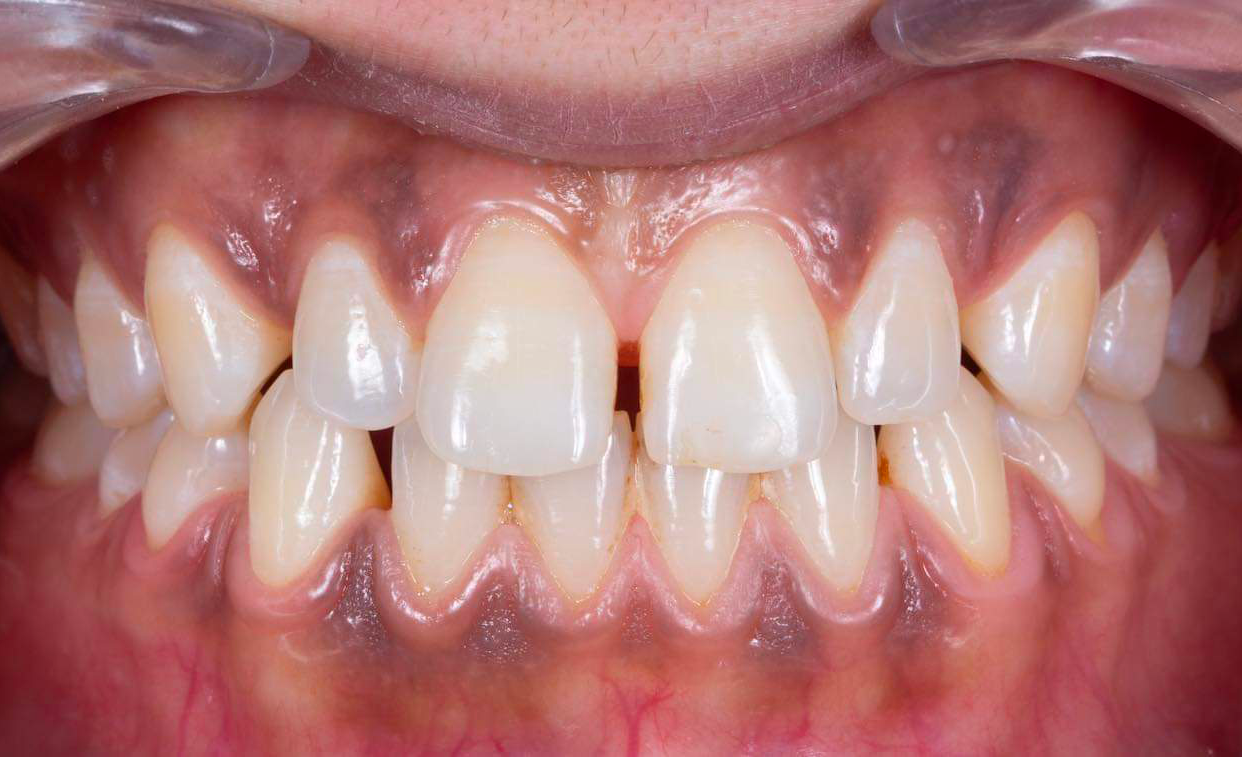
Faccette dentali

Toronto

Lega ceramica

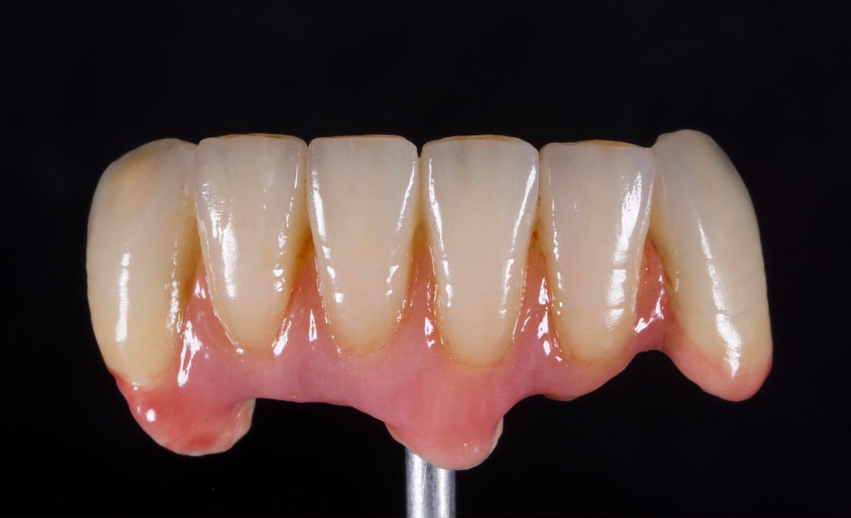
Protesi Fissa

Servizi CAD/CAM

Zirconio monolitico e ceramica

Carichi Immediati

Faccette feldespatiche su foglio di platino

Metallo e ceramica

Faccette feldespatiche su foglio di platino

Faccette feldespatiche su foglio di platino

Metallo e ceramica

Faccette feldespatiche su foglio di platino

Faccette feldespatiche su foglio di platino

Contatta Giovanni Castiglia per ulteriori info

    Prossimi Eventi

    Nessun evento in programma