Skip to main content

Del Pin Antonio

Laboratorio

Del Pin Antonio

Via 4 Novembre 43 33010 Feletto Umberto UD

chi sono

 Diplomato nel 1979 presso Ipsia Giacomo Cecconi di Udine

Esperienze professionali

Inizia la sua esperienza lavorativa presso vari professionisti di Udine Nel 1982 apre il proprio laboratorio , dal 1993 collabora in società’ con altri colleghi specializzandosi nel settore della protesi mobile Frequenta corsi e manifestazioni su protesi mobile , scheletrica , ed impianti con relatori di fama nazionale e internazionale quali il Dr. Fradeani , Pr. Palla Pr. Bertagnolli, Odt. Colognesi , Odt. Koller, socio ANTLO, per diversi anni ha fatto parte del direttivo ANTLO FVG . Nel luglio 2006 decide di dedicarsi esclusivamente alla protesi mobile ed in collaborazione con la moglie apre una nuova realtà a Tavagnacco in provincia di Udine.

Le nostre lavorazioni

php code:

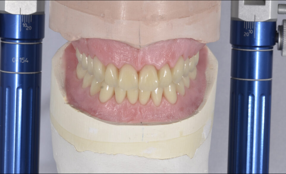
Protesi mobile

Toronto Bridge

Presentazioni Canva

Prossimi Eventi

Implant Bridge Fibra di Quarzo – DEL PIN

Novembre 28, 2025 | Via 4 Novembre 43, 33010 Feletto Umberto UD

Contatta Del Pin Antonio per ulteriori info

    Leave a Reply