Skip to main content

Ilab Italy

Laboratorio

Ilab Italy

VIA FRATELLI SEBASTIANI 121 INT. 8

chi sono

Titolare di laboratorio dal 1998, si occupa esclusivamente di protesi fissa.
Dal 1998 al 2011 frequenta diversi seminari e corsi di formazione per apprendere diverse tecniche di moderazione e morfologia dentale condo le scuole dei vari autori. Nel 1997 frequenta, come partecipante, il primo corso di morfologia presso la Sa.Vi.Dent (Roma) di Lanfranco Santocchi e frequentando il suo laboratorio per diversi anni.
Nel 2000 , partecipa a numerosi corsi di metallurgia e implantoprotesi con vari maestri del settore A. Battistelli, C. Groppi, S. Streva, R. Pascetta.
Dal 2002 al 2006 partecipa ai corsi master di estetica e colore con il maestro G.Zuppardi, Michel Magne, G.ubassy, S.Kataoga.
Nel 2007 partecipa al corso master di moderazione con la tecnica A.F.G. di A.Battistelli.
Dal 2008 al 2014 frequenta corsi di gnatologia con C. Nannini approcciando alla tecnica di Slavicek . Partecipa al corso master annuale di protesi fissa e occlusione con il sig. Roberto Bonfiglioli (Porta Mascella).
Ha partecipato a diversi corsi di protesi mobile con vari autori Prof.Glauco, Marino, Reginaldo Bartolloni, R.Colognese.
Dal 2010 si è specializzato sulla la tecnica All on 4 Toronto bridge con la Nobel Biocare.
Dal 2015 ha stretto una solida collaborazione con il maestro G. Zuppardi dove ancora oggi continua. Autore di diverse pubblicazioni, ha svolto attività di relatore in Italia e all’estero.
Dal 2013 collabora con l’azienda A.gree (Vertysystem) organizzando workshop e corsi in protesi totale e protesi fissa con esperienza nello stampaggio della ceramica e composito.
Fotografo:
E’ fotografo professionista nel settore dentale, dal 1996 si è appassionato alla fotografia dentale, partecipando a numerosi corsi con il sig. Giorgio Perini, Carlo
Alberto Piacquadio, Dr.Federico Lorelli, Paolo Scattarelli. Nel 2011 ha partecipato al corso di DSD con il Dr. Francesco Mintrone e Claudio Nannini. Ha tenuto corsi per medici e odontotecnici e nel 2018 ha svolto un corso master per i laboratori VQL.

Le nostre lavorazioni

php code:

Carichi immediati

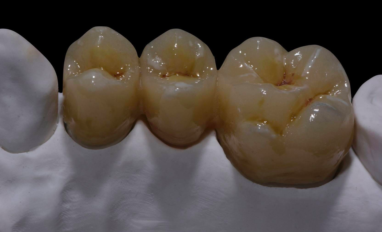
Protesi fissa

Protesi su impianti

Protesi mobile

Faccette dentali

CAD/CAM

Metal-free

Contatta Ilab Italy per ulteriori info

    Prossimi Eventi

    Nessun evento in programma