Skip to main content

Artitec

Laboratorio

Artitec

Via Niccolò Copernico 1/A, 23875 Osnago Lecco

www.artitec.it

chi siamo

Dal 1999 Artitec si afferma come azienda leader nei dispositivi protesici di qualità, in un’area produttiva di oltre 400 mq. Grazie alle competenze del team working formato da tecnici specializzati e dal solido patrimonio di esperienza professionale dei quattro soci fondatori, è in grado di offrire una vasta gamma di prodotti adatti a qualsiasi esigenza odontoiatrica. Investe costantemente in ricerca e innovazione, puntando a migliorare la qualità dei prodotti, la velocità di risposta alle richieste del mercato, la competitività e i servizi al cliente, fornendo un valore aggiunto tangibile ed un servizio sempre più personalizzato.

Le nostre lavorazioni

php code:

Servizi CAD/CAM

Faccette dentali

Protesi fissa

protesi mobile

Stampa 3D

Griglie sottoperioste e di rigenerativa

toronto

chirurgia guidata

servizi chair side

Pre-visualizzazione digitale

Mascherina chirurgica

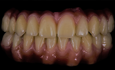
Zirconia Monolitica su impianto

Faccette in disilicato

Griglia Sottoperiostea

Protesi mobili digitali

Bite digitale

Toronto con rivestimento in resina monomassa e composito (TO.MO.CO®

Digital Smile Design (DSS)

Presentazione Canva

Prossimi Eventi

Non era colpa tua. Neppure dell’ IOS. Era colpa del drift.

Maggio 5, 2026 | Osnago, Lecco

Masterclass “Tre livelli di estetica su Zirconia”

Giugno 19, 2026 | Osnago, Lecco

Total Digital Concept – AperiTalk

Ottobre 6, 2025 | Via N. Copernico, 1 23875 Osnago LC

Genio – Griglie Sottoperiostee

Giugno 19, 2025 | Biologitech Srl, Via G. Di Vittorio, 30, 20068 Peschiera Borromeo (MI)

Contatta Artitec per ulteriori info

    Leave a Reply